-
발바닥이 화끈거리는 이유 10가지카테고리 없음 2025. 7. 27. 12:46
목차
요즘 발바닥이 뜨겁고 따갑고, 화끈거리는 느낌 때문에
신발 벗고 시원한 바닥에 대고 싶은 마음, 드시지 않나요?하루 종일 걸어서 피곤해서 그렇겠지...
나이 들어서 그래...
라고 생각하며 넘기는 분들이 많지만,
사실은 건강에 이상 신호를 보내는 것일 수도 있습니다.





발바닥이 화끈거리는 이유 오늘은 발바닥이 화끈거리는 이유 10가지, 아주 자세히 설명해드릴게요.
당신의 발바닥, 지금 무엇을 말하고 있는 걸까요?발바닥이 화끈거리는 이유
1. 말초신경병증
가장 흔한 원인 중 하나로,
말초 신경이 손상되면서 통증, 저림, 화끈거림이 나타나는 질환입니다.
당뇨병, 과음, 특정 약물 등에 의해 발생할 수 있으며
밤에 증상이 심해지고, 양쪽 발에 대칭적으로 나타나는 경우가 많아요.





발바닥이 화끈거리는 이유 2. 당뇨병성 신경병증
당뇨 환자에게 매우 흔하게 나타나는 합병증입니다.
혈당 조절이 잘 안 되면 신경이 손상되며,
그 결과 발바닥이 타는 듯한 화끈거림, 저림, 감각 이상이 동반됩니다.
초기에는 밤에만 불편함을 느끼다가 점점 지속 시간도 늘어납니다.3. 족저근막염
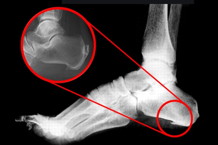
발바닥 통증의 대표 질환으로,
발뒤꿈치에서 발바닥 전체로 이어지는 근막에 염증이 생기며
걷거나 서 있을 때 발바닥이 뜨겁고 찌릿한 통증을 유발합니다.
특히 아침에 첫 발을 디딜 때 더 아픈 경우가 많아요.





발바닥이 화끈거리는 이유 4. 혈액순환 장애
혈액이 말초 부위까지 잘 전달되지 않으면
발끝, 발바닥이 화끈거리거나 찌릿하고 저리는 증상이 생깁니다.
특히 흡연자, 고혈압, 고지혈증이 있는 경우
혈관이 좁아져 순환 문제가 쉽게 생깁니다.5. 무좀 또는 피부질환
발바닥이 가렵고 화끈거리면서 각질이 일어나거나 물집이 생겼다면
무좀이나 접촉성 피부염일 수 있습니다.
곰팡이균 감염으로 인해 화끈거림, 따가움, 열감이 동시에 나타납니다.





발바닥이 화끈거리는 이유 6. 비타민 결핍 (특히 B군)
비타민 B1, B6, B12 부족은 신경 기능 저하를 일으켜
손발 저림, 발바닥 화끈거림, 감각 저하를 유발할 수 있어요.
특히 채식 위주 식단이나 흡수장애가 있는 분들에게 잘 나타납니다.7. 신장 기능 저하 (요독증)
신장이 제 역할을 하지 못하면 몸속 노폐물이 쌓여
요독성 신경병증으로 이어질 수 있어요.
이 경우 발바닥부터 시작해 손발 전체가 화끈거리고 저린 느낌이 동반됩니다.





발바닥이 화끈거리는 이유 8. 폐경기나 호르몬 변화
여성의 경우 폐경기 전후 호르몬 변화로 인해
말초 혈관의 확장과 수축이 불안정해지며
발바닥에 화끈거림이나 열감을 느끼는 경우가 있습니다.
밤에 더 심해지는 경향이 있어 수면에 방해되기도 해요.9. 신경 눌림 (허리디스크, 좌골신경통 등)
허리에서부터 내려오는 신경이 눌리거나 자극될 경우
다리 전체 또는 발바닥에 전기가 흐르는 듯한 화끈거림이 나타납니다.
특히 한쪽 다리만 증상이 있거나, 자세에 따라 심해진다면 의심해봐야 합니다.





발바닥이 화끈거리는 이유 10. 과도한 운동 또는 장시간 서 있기
단순히 과사용(overuse)으로
발바닥 근육에 피로가 누적되면
통증, 열감, 붓기, 화끈거림이 생길 수 있어요.
운동 후 충분한 스트레칭과 휴식이 부족하면 더 심해질 수 있습니다.발바닥 화끈거림 시 주의사항 & 대처법
- 밤에 증상이 심하고 감각이 무뎌진다면 신경 검사 필수
- 혈당·혈압·콜레스테롤 관리 철저히 하기
- 비타민 B 복합체 섭취 + 규칙적인 식사
- 불편한 신발, 굽 높은 신발 피하기
- 발 마사지, 족욕, 스트레칭으로 순환 돕기
발바닥의 화끈거림은 단순한 피로가 아닌
몸 안의 이상 신호일 수 있습니다.
오늘 소개해드린 10가지 원인 중 해당되는 부분이 있다면
가볍게 넘기지 마시고, 생활습관 개선 또는 병원 검진을 받아보시길 추천드립니다.당신의 하루가 더 가볍고 건강하게 걸을 수 있도록
다음에도 알찬 건강 정보로 찾아올게요!
읽어주셔서 감사합니다. 🦶💚고혈압 낮추는 방법 10가지
고혈압은 **‘침묵의 살인자’**라고 불릴 만큼 자각 증상이 적지만치료 없이 방치하면 심장병, 뇌졸중, 신장 질환 등으로 이어질 수 있는 무서운 질환입니다.하지만 다행히도, 생활습관만 잘 관
skqqn.ehsaksgdl.com
폐암 초기증상 10가지
암 중에서도 **초기에 증상이 거의 없어 ‘침묵의 암’**이라 불리는 폐암.흡연자뿐 아니라 비흡연자에게도 발병률이 점점 높아지고 있는 무서운 질병입니다.하지만 아주 미세한 초기 증상들을
skqqn.ehsaksgdl.com
철분 많은 음식 10가지
최근 따라 자주 피곤하고 어지럽고, 손발이 차거나 숨이 차신가요?그렇다면 우리 몸에 꼭 필요한 ‘철분’이 부족한 건 아닌지 점검해보세요.특히 여성, 성장기 아이, 임산부에겐 철분이 더더욱
skqqn.ehsaksgdl.com